
Die Möglichkeiten, sich zu verletzen sind so vielfältig wie es unmöglich ist, sein Haustier ein Leben lang in Watte zu packen. Der quirlige Border Collie überschätzt sich und springt von einer 2m hohen Mauer; die junge Kätzin erweitert ihren Radius im Quartier, kollidiert mit einem E-Bike und kommt auf drei Beinen nach Hause zurück.
Einziger Trost: wenn es mal richtig dumm geht, sind wir da Ihrem Tier zu helfen. Ein gebrochenes Bein tut zwar richtig weh, heilt aber bei sachgemässer Versorgung in der Regel wieder so ab, dass keinerlei Einschränkungen zurückbleiben.

Instrumentarium und Implantate zur Fixierung der Knochenbrüche
Unsere Expertise auf dem Gebiet der orthopädischen Chirurgie ermöglicht es uns, nahezu jede Fraktur zu versorgen.
Mit den hochwertigen Titanimplantaten verwenden wir State-of-the art Materialien, also Materialien auf dem höchsten Entwicklungsstand, deren Verträglichkeit und Anwenderfreundlichkeit Massstäbe setzen.
So gibt es für schwierige Frakturkonfigurationen wie zum Beispiel Splitterfrakturen oder gelenknahe Frakturen analog zur Humanmedizin inzwischen sogenannte Spezialplatten, die speziell für eine bestimmte Knochenregion und in verschiedenen Grössen produziert werden. Das erleichtert dem Chirurgen die Arbeit und trägt über eine höhere Stabilität der Versorgung, eine kürzere OP-Dauer und eine geringere Fehleranfälligkeit entscheidend zur Patientensicherheit und einem guten Outcome bei.

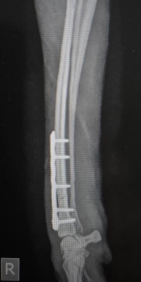
Geschlossene Unterarmfraktur

Postoperatives Röntgenbild: die Fraktur wurde reponiert und mit Platte und Schrauben stabilisiert (Osteosynthese).